審美歯科
自然で身体に優しい材料
美しい口元にすることは、健全な口腔内環境を保つことにもつながります。虫歯治療の際に詰めた銀歯や被せた銀歯が、気になっている方は多いと思います。
それらを自然で、汚れのつきにくく、身体に優しい素材に変えてみませんか?
メタルフリーとは?
お口の中の金属が原因で、アレルギー症状が現れることがあるのをご存じですか?
銀歯を長い間使っていると唾液中に金属イオンが溶け出し、アレルギー症状を引き起こすことがあるのです。
ただし、どの部分にアレルギー反応が出るかは人それぞれのため、原因が口の中の金属だとは気づかない場合があるようです。
原因不明のアレルギー症状がある場合、口の中に金属がありませんか?
金属アレルギーの症状は、その原因を除去しない限り、改善することはほとんどありません。当院では、金属を使用しないメタルフリーの治療も行っています。
金属アレルギーの心配がないのはもちろん、見た目が自然なのが特徴です。
自由診療の詰め物・被せ物メニュー
詰め物(インレー)
各種セラミック
|
セラミックを素材とした詰め物です。見た目が天然の歯に近く、金属アレルギーを引き起こしません。質感や咬み心地が自然な仕上がりとなります。 メリット 天然の歯に近い色調と透明感がある 強度がある 金属アレルギーを起こさない |
|
| 見た目 耐久性 |
金額 44,000円〜55,000円 | |
ハイブリッドセラミック
|
歯科用プラスチック「レジン」と、光の透過性・色の再現性に優れたセラミックを掛け合わせた素材です。しなやかで金属アレルギーを引き起こしません。 メリット 硬すぎないので周囲の歯を傷付けない やわらかくしなやか |
|
| 見た目 耐久性 |
金額 27,500円 | |
被せ物(クラウン)
各種セラミック
|
セラミックを素材としています。見た目が天然の歯に近く、金属アレルギーを引き起こしません。 メリット 天然の歯に近い色調と透明感がある 強度がある 金属アレルギーを起こさない |
|
| 見た目 耐久性 |
金額 88,000円〜121,000円 | |
ジルコニア
|
人工ダイヤモンドとしてもよく知られています。天然歯に近い色を出すことができ、金属と同等の強度もあります。 メリット 天然歯に近い色調と透明感がある 金属と同等の強度がある 金属アレルギーを起こさない |
|
| 見た目 耐久性 |
金額 88,000円〜121,000円 | |
メタルボンド
|
金属性の人工歯の上にセラミックを焼きつけたものです。人工歯の中ではもっとも古くから使われており、強度もあります。 メリット オールセラミックより精密に作製でき、強度がある ほとんどの部位で使うことができる |
|
| 見た目 耐久性 |
金額 99,000円 | |
ハイブリッドセラミック
|
セラミックとレジン(歯科用プラスチック)を混ぜた素材の被せ物です。費用を抑えて銀歯を白くしたい場合に適しています。長年使用すると変色してくることがありますが、やわらかい素材のため咬み合う歯を傷つけません。 メリット やわらかくしなやか 周囲の歯を傷つけない |
|
| 見た目 耐久性 |
金額 66,000円~ | |
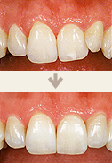
ラミネートべニア
|
歯の表面を薄く削り、その上からセラミックの板を接着する方法です。主に前歯の治療で用いられ、歯のすき間を改善する目的でも使用されます。 メリット ホワイトニングで改善できない歯を白くできる 歯を削る量が少なく、痛みもほとんどない 色と形をきれいにできる 歯の神経を温存できる 治療が短期間で済む 用途 前歯用 |
|
| 金額 110,000円 | ||
ファイバーコア
|
グラスファイバーでできたコア(土台)です。 保険適用のファイバーコアもあります。 メリット しなやかなので歯根が折れる・割れる可能性が低い 金属アレルギーを起こさない |
|
| 金額 22,000円 | ||
※価格はすべて税込価格です。
※自由診療の詰め物・被せ物は5年の保証付きです。(ただし、定期的に検診を受けていただいた方に限ります。)









